Quel est le problème ? Au moment d’un planning ou d’une biopsie, un message jaune " erreur d'enregistrement » apparait. Cela signifie que le résultat des images ultrasons n'a pas été effectué correctement Cet article explique les étapes à suivre pour
Comment réaliser une revue patient ?
La réalisation d'une revue patient permettra de déterminer la cause du problème. En cas de mauvaise utilisation, cela peut se produire pendant le panorama ou pendant les biopsies
- Mésusage pendant panorama
- Vérifiez le contour
Vérifiez le contour de la prostate en suivant ces étapes.
b. Prostate incomplète
- Assurez-vous que l’ensemble de la prostate soit inclus dans le Panorama.

- Vérifiez :
-
- Qu’il y ait suffisamment de gel sur la tête de sonde
- Qu’il n’y ait pas de bulles d’air dans le protection de la sonde
-

c. la profondeur des US n’est pas correctement ajustée
- Ajustez la profondeur de la prostate, c’est-à-dire que la prostate ne doit pas dépasser plus de la moitié de l’image ultrasons.
- Lorsque vous réalisez un panorama, assurez-vous que la prostate est contenue dans l’encadré jaune.

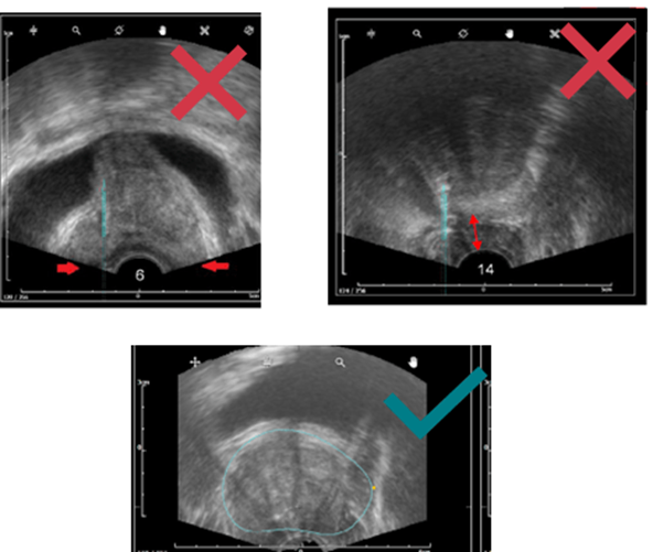
d. Pression sur la sonde et image
- Les lobes dépassent l’image (image de gauche (6)) → déformation de la glande due à une pression excessive sur la prostate).
- La prostate est trop loin de la tête de sonde (image de droite (14)) → pas assez de pression).

- Les lignes blanches de la tête de sonde doivent être continues.
- Les images ultrasons ne doivent pas avoir de lignes noires continues(bruit ultrasons).
Si vous suspectez une mauvaise qualité d’images, lisez cet article.

e. la zone de contour n’est pas bien ajustée
Tester la grille permet de vérifier l'ajustement de la zone de contour : elle doit s'adapter correctement au contour de la prostate.

2. Mésusage pendant une acquisition 3D
a. La prostate est incomplète
La rotation de la sonde – dans l’approche rectale, pour une biopsie peut être réalisé par le côté gauche de la prostate, le guide-aiguille doit être placé sur le côté gauche du patient.

b. Comparaison des paramètres avec les paramètres du panorama
- La profondeur des US doit rester la même entre le panorama et les acquisitions de biopsies suivantes.

- Les paramètres du Panorama doivent être les mêmes que les paramètres d’acquisition pour obtenir une bonne image de fusion.

c. Pression de la sonde et défauts de sonde
- Les lobes dépassent l'image échographique → Déformation de la glande due à une pression excessive sur la prostate.

- La prostate doit être clairement visible, aucune ligne noire continue ne doit apparaitre. Si vous suspectez une image de mauvaise qualité, se rapporter à cet article.

3. Reporter votre investigation à KOELIS
Suite à votre investigation, si aucune des étapes précédentes n’a résolu votre problème, récupérez les données patients et ouvrir une requête client via ce formulaire.
Joignez les données patients au formulaire.
Comment résoudre ce problème ?
Dans la plupart des cas, ce problème est dû à un mésusage et une des étapes précédentes peut résoudre le problème. Sinon l’équipe Service de Koelis investiguera le cas et reviendra vers vous rapidement.