Koelis informe ses utilisateurs qu'un défaut d'affichage des images DICOM MR Enhanced peut être constaté avec certains produits.
Produits concernés :
- Logiciel PROMAP-3D Prostate suite, référence KSOF-2602, version 4.5.0 et 4.6.0 - déployé sur les produits suivants :
- TRINITY, référence KURO-3000, KURO-3000-2, KURO-3000-3
- Mr Draw, référence KURO-4000
- ProMap Lite, référence KSOF-2602
Images concernées : Series DICOM MR de type "Enhanced".
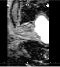
Comment le constater : Au moment de l'affichage du volume DICOM en page "Contour", le volume est affiché inversé sur l'axe apex-base. La position de la vessie est un point de repère efficace : "à gauche", le volume est affiché correctement, "à droite", le volume est affiché inversé.
|
|
|
| Image affiché correctement : la vessie est à gauche | Image affichée inversée : la vessie est à droite |
Conséquence sur l'utilisation : l'orientation du volume DICOM impact la précision de la fusion MR/US. En conséquence, Koelis demande à ses utilisateurs de ne pas utiliser ces images.
Correctif : un correctif sera disponible dès la prochaine version logicielle 4.8.0.
Conduite à tenir en attendant le correctif : rapprochez vous de votre interlocuteur radiologue et demander une série DICOM MR non enhanced. Vous pouvez préciser que le champ "1.2.840.10008.5.1.4.1.1.4.1 - Enhanced MR Image Storage" doit être modifié au format "1.2.840.10008.5.1.4.1.1.4 - MR Image Storage".

