Koelis informs their users that some products may display DICOM MR Enhanced images incorrectly.
Concerned products:
- Software PROMAP-3D Prostate suite, reference KSOF-2602, version 4.5.0 et 4.6.0 - deployed on these products :
- TRINITY, reference KURO-3000, KURO-3000-2, KURO-3000-3
- Mr Draw, reference KURO-4000
- ProMap Lite, reference KSOF-2602
Images affected : DICOM Series MR type "Enhanced".
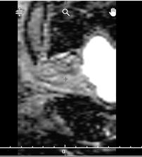
How to check: When the DICOM volume is displayed on the "Contour" page, the volume is displayed inverted on the apex-base axis. The position of the bladder is an effective reference point: "on the left", the volume is displayed correctly, "on the right", the volume is displayed inverted.
|
|
|
| Image displayed correctly: the bladder is on the left | Image displayed reversed: the bladder is on the right |
Consequence on use: the orientation of the DICOM volume has an impact on the accuracy of MR/US fusion. As a result, Koelis is asking its users not to use these images.
Fix: a fix will be available in the next software version 4.8.0.
Action to be taken while waiting for the fix: contact your radiologist and ask for a non-enhanced DICOM MR series. You can specify that the field "1.2.840.10008.5.1.4.1.4.1 - Enhanced MR Image Storage" should be changed to "1.2.840.10008.5.1.4.1.4 - MR Image Storage".

